Zahnmedizinische Themen sind nicht unbedingt furchterregend. Oft sind sie sogar recht interessant, amüsant, rätselhaft oder verblüffend, und erlauben uns auch ab und zu einen Einblick in frühere Zeiten, damit wir uns dann glücklich schätzen können, dass die medizinischen, diagnostischen und pharmakologischen Wissenschaftsbereiche derart riesige Fortschritte gemacht haben...
Nicht jedem wachsen Weisheitszähne |
Wir haben Ihnen Erstaunliches aus der Welt der Zähne und Zahngesundheit gesammelt, die wir nun gerne und öfter in Form von „Schon gewusst?“-Fakten, Tatsachen oder Mythen und Legenden präsentieren.
1. Wussten Sie zum Beispiel, dass Frauen nicht nur mehr sprechen, sondern auch mehr lächeln? Im Durchschnitt 62 Mal am Tag – ein Mann dagegen nur 8 Mal.
Lächeln macht glücklich – den, der ein Lächeln schenkt, und auch denjenigen, der angelächelt wird. Also auf zum Lächeln-Zählen!
2. Hätten Sie gedacht, dass wenn man keine Zahnseide benutzt, etwa 40% der Zahnoberflächen ungereinigt bleiben? Daher ist es sinnvoll, regelmäßig auch Zahnseide oder Interdentalbürsten zu benutzen!
3. Wie alt würden Sie die erste bekannte Amalgamfüllung schätzen? Sie stammt nämlich aus China von vor 1500 Jahren. In der europäischen Zahnmedizin wurde die spezielle Paste aus Silber, Quecksilber und Zinn erst zu Anfang des 16. Jahrhunderts entdeckt – und selbst das ist viel älter, als geschätzt, oder?
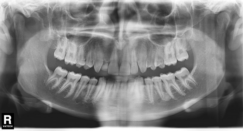
4. Ob jedem Weisheitszähne wachsen? Aber nein. Das hat aber nichts mit der einst vermuteten Reife zu tun.
Heutzutage haben etwa 20% der Erwachsenen überhaupt keine Weisheitszähne, sie haben also statt 32 nur 28 Zähne im Mund. Dies ist das Resultat einer Jahrtausende langen Evolution. Die Essgewohnheiten der Menschen hatten sich derart verändert, dass die hintersten Zähne, die normalerweise zuletzt durchbrechen, beim Verzehren der Nahrung überflüssig wurden, bzw. der Unterkiefer immer kleiner wurde, sodass die überflüssigen Achter irgendwann keinen Platz mehr haben.
Der aus dem Lateinischen stammende Begriff Weisheitszahn spielte darauf hin, dass damals, als die durchschnittliche Lebenserwartung eines Menschen noch viel niedriger lag als heute, das Durchbrechen der letzten Mahlzähne das Erwachsenenalter signalisierte. Heute wissen wir, dass die Weisheitszähne in vielen Fällen gar nicht so weise sind, denn auf Röntgenaufnahmen ist es ersichtlich, dass sie oft nicht richtig oder gar nicht durchbrechen, und entweder schief oder ganz quer im Kieferknochen stehen. Klingt nicht so weise, oder? Das ist in den meisten Fällen auch sehr schmerzhaft, daher werden sie operativ entfernt.
5. Ist es nicht unfassbar, dass es mehr Menschen auf der Welt gibt, die ein Handy besitzen, als Menschen, die eine Zahnbürste haben?
6. Je darüber gelesen, wie gefährlich Zahnbelag sein kann? Bei 50% der Herzklappenerkrankungen sind Mundhöhlenkeime aus Zahnbelägen beteiligt – gelangen diese erst einmal unter das Zahnfleisch, bilden sie sog. Zahnfleischtaschen, und erreichen durch den Kreislauf auch andere lebenswichtige Organe!
7. Kennen Sie das Kraut, das gegen Mundgeruch gewachsen ist? Sellerie hilft nicht nur beim Stressabbau und gilt als natürliches Potenzmittel, sondern ist auch ausgezeichnet gegen Mundgeruch.
8. Wie scharf würden Sie sich Schneidezähne vorstellen? Biberzähne sind so scharf, dass sie von den Indianern früher als Klingen verwendet wurden.
9. Wie viele Elefanten wiegen wohl 20 Tonnen? Das hat sehr wohl mit unseren Zähnen zu tun – in einem Zeitraum von 50 Jahren zerkauen und zermalmen wir mit unseren Zähnen nämlich an die 20 Tonnen Nahrung. So viel wiegen etwa 4-5 Elefanten.
10. Welche Farbe hat Ihre Zahnbürste? Es werden auf der Welt mehr blaue Zahnbürsten verkauft als rote.
Dr. Kalman Gelencser
Gelencsér Dental Zahnklinik
War der Artikel informativ? Empfehlen Sie ihn weiter!
Artikel ausdrucken
Haben Sie Fragen? Schreiben Sie uns!
Letzte Änderung: 16. Juni 2021




