Herzlich willkommen!
Ob Oralchirurgie oder Ästhetik: Die Expertise unserer erfahrenen Zahnärzte garantiert Ihr strahlendes, selbstbewusstes Lächeln. Verbinden Sie Ihre Behandlung in Hévíz mit Erholung im einzigartigen Thermalbad – für perfekte Zähne und neue Energie.
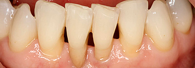
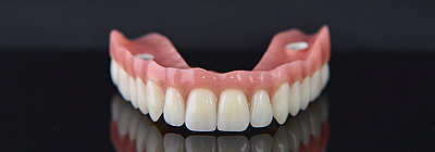
Zahnersatz
Hochwertig, langlebig und passgenau: Ästhetischer Zahnersatz direkt aus dem eigenen Zahnlabor.
Zahnimplantat
Bezahlbare Qualität: Höchste Sicherheit durch jährlich tausende gesetzte Implantate.
Zahnbehandlung
Das gesamte Spektrum der modernen Zahnmedizin: schonend, präzise und schmerzfrei.

Was möchten Sie wissen?

Meistgesuchte Begriffe:
Zahlt man in Ungarn wirklich bis zu 50-70% weniger für eine Zahnbehandlung?

Zahnersatzrechner

Durch einen Vergleich der Preise können Sie sich selbst davon überzeugen, dass Sie bei Zahnbehandlungen in Ungarn sogar bis zu 70% sparen können!

Von der Ersparnis dürfen Sie sich dann den Urlaub dazu gönnen...

0
0
0
0
hu flag compare
de flag compare
at flag compare
ch flag compare
Metall-Keramik Krone
Metall-Keramik Brücke (3-gl.)
Prettau Zirkon Krone
Prettau Zirkon Brücke (3-gl.)
Teleskop-Krone
Zahnimplantat
Dental Hightech
Zahnmedizin der Zukunft: Innovation & Präzision
Erleben Sie Zahnmedizin auf Weltniveau! Dank digitaler High-End-Technologie profitieren Sie von effizienten und spürbar angenehmeren Behandlungen. Technologischer Fortschritt für Ihr Wohlbefinden und ein strahlendes Lächeln.
Digitale 3D-Diagnostik: Zielsichere Planung und maximale Sicherheit durch modernste CT- und Röntgenverfahren.
CAD/CAM: Computergestützte Perfektion für passgenauen Zahnersatz und schonende Eingriffe.
Was können wir für Sie tun?
Wir kennen die Lösung für Ihr zahnmedizinisches Problem! Zahnersatz ist der häufigste Grund, der Patienten veranlasst, für eine Zahnbehandlung ins Ausland zu fahren. Der Grund hierfür ist ganz klar: Ob Krone, Brücke, Prothese oder Implantat – Zahnersatz ist eine kostspielige Angelegenheit und somit lohnt sich sogar der grenzüberschreitende Vergleich der verschiedenen Angebote.
Ich möchte schönere Zähne
Gesunde Zähne und ein schönes Lächeln sind quasi unsere Visitenkarte! Zirkonkronen und Zahnbleaching halten, was sie versprechen.
Ich brauche Zahnersatz
Macht Ihnen der Zahnverlust den Alltag mies? Lassen Sie Ihr Lückengebiss von unseren Spezialisten versorgen, damit Sie wieder gut lachen haben.
GRATIS Zahn-Check-Up
Beratungsgespräch mit Röntgenaufnahme und Untersuchung inklusive unverbindlicher Heil- und Kostenplan!
GRATIS Angebot
Möchten Sie Preise vergleichen? Fordern Sie unser Gegenangebot an! Schicken Sie uns ein Röntgenbild oder einen HKP für ein kostenloses, unverbindliches Angebot!
Ihr Zahnarzt:
"Wir fühlen Ihnen auf den Zahn, um stets die perfekte Lösung zu finden. Sie können sich bei uns auf Qualifikation, Erfahrung, Hightech und schmerzfreie Behandlungen verlassen."
Dr. Kálmán Gelencsér
Unser Zahnärzte-Team
Ungarns größtes Dental-Team
Wir sind die richtige Adresse für zahnmedizinische Probleme. 17 Zahnärzte und Spezialisten unter einem Dach mit 3 Anästhesisten, 10 Zahntechnikern, 20 Dentalhygienikerinnen und Assistentinnen, ergänzt durch 6 Rezeptionistinnen, 7 Sales & Marketingmitarbeitern tun jeden Tag ihr Bestes für reibungslose Arbeitsabläufe, die zu Ihrem neuen, perfekten Lächeln führen.
Dr. Dr. Kata Sasvári
Zahnärztin / Fachzahnärztin für Oralchirurgie
Dr. Adorján Szakál
Zahnarzt / Fachzahnarzt für Oralchirurgie
Dr. Bálint Tapasztó
Zahnarzt / Fachzahnarzt für Oralchirurgie / M.Sc. von Implantologie
Dr. Attila Kovács
Zahnarzt / Leitender Oberarzt
Dr. Imre Németh
Zahnarzt
Dr. Cecília Várnagy
Zahnärztin
Dr. Attila Kámán
Zahnarzt / Kieferorthopäde
Dr. Fanni Baji-Gál
Zahnärztin
Dr. Dóra Fábián
Zahnärztin
Dr. Zsófia Penteli
Zahnärztin
Dr. Nándor Nagy
Zahnarzt
Dr. Dömötör Nyéki
Facharzt für Anästhesiologie
Patientenbewertungen der Gelencsér Dental Zahnklinik
Gelencsér Dental Zahnklinik ist bekannt aus
focus.de – So wird ein Zahnimplantat eingesetzt
spitta.de – Künstliche Intelligenz in der Zahnmedizin
zwp-online.info – Dental Hightech: Innovationen des 21. Jahrhunderts in der Zahnmedizin
iww.de – Künstliche Intelligenz bringt Fortschritt in der Zahnmedizin
digital-dental-magazin.de – Wie das 21. Jahrhundert unsere Berufspraxis verändert
Superbrands
Gelencsér Dental ist Superbrands-Preisträger
Eine Premiere in unserer Klinikgeschichte: Wir wurden mit der renommierten Auszeichnung geehrt. Sie ist die Bestätigung für unser jahrzehntelanges Engagement, das technische Präzision mit höchstem ästhetischen Anspruch vereint.
Internationaler Maßstab: Das Siegel unterstreicht, dass unser Qualitätsniveau und unsere Philosophie auch im weltweiten Vergleich zur absoluten Spitzenklasse zählen.
Vertrauen & Werte: Unser Ziel geht weit über die reine Heilung hinaus – wir schaffen nachhaltige Ergebnisse und schenken Ihnen ein Lächeln voller Zufriedenheit.
Preise und Auszeichnungen
Unsere Klinik wurde vielfach mit renommierten nationalen und internationalen Preisen ausgezeichnet. Diese Ehrungen stehen für höchste medizinische Exzellenz, Verlässlichkeit und konsequente Patientenorientierung. Für Sie bedeutet dies die Gewissheit, sich bei uns fachlich und menschlich in den besten Händen zu wissen.
Superbrands
MB
Platinum
Hévíz városáért
1981
Vorteile, die für Ihre Auslandsbehandlung sprechen
10 gute Gründe für die Gelencsér Dental Zahnklinik
Hochwertige Behandlung mit Kostenersparnis von bis zu 70%
Selbst mit Einberechnung der Reise- und Unterkunftskosten sind Behandlungen in der Gelencsér Dental Zahnklinik 50-70 % günstiger als im deutschsprachigen Raum.
Deutschsprachige Betreuung - vom ersten Kontakt bis zur Behandlung
Alle unsere Zahnärzte, Assistentinnen und Dentalhygienikerinnen, alle Mitarbeiter am Empfang und im Reiseservice und auch unsere Fahrer in Hévíz sprechen Deutsch.
Partnerzahnärzte in Deutschland, der Schweiz, Österreich, Südtirol
Partnerzahnärzte in Deutschland, der Schweiz, Österreich, Südtirol
Unsere Kooperationspartner in den genannten Regionen stehen für Vor- und Nachuntersuchungen sowie für jährliche Kontrollen zur Verfügung.
Passgenauer Zahnersatz aus dem hauseigenen Meister-Dentallabor
Wir bieten die komplette Palette zahntechnischer Lösungen - mit HighTech-Fertigung, 40 Jahren Erfahrung und enger Abstimmung von Zahnarzt & Zahntechniker.
Ungarns größtes Zahnimplantat-Zentrum: Unsere Erfahrung bürgt für Qualität!
Wir setzen jährlich mehr als 4.000 Zahnimplantate und bieten bei Bedarf auch Knochenaufbau-Maßnahmen sowie Aufbau-Lösungen für alte Implantate.
Schmerzfreie Zahnbehandlungen im Dämmerschlaf - auch für Angstpatienten!
Dank der wachen Sedierung unter Betreuung erfahrener Anästhesiologen erleben Sie jede Zahnbehandlung angstfrei und entspannt.
TÜV-zertifizierte Qualität
Seit 2005 erfüllt unsere Zahnklinik die höchsten Anforderungen der internationalen Norm DIN ISO:9001 und wird durch regelmäßige Audits überprüft.
Krankenkassen-Zuschüsse wie in Deutschland
Wenn die Krankenkasse den Heil- und Kostenplan genehmigt, erhalten Sie für Zahnbehandlungen in Ungarn denselben Festzuschuss wie in Deutschland. In unserer von der Techniker empfohlenen Vertragsklinik profitieren die TK-Versicherten von weiteren Leistungen.
Dental-Reiseservice
Unser Serviceteam übernimmt die Organisation von Anreise & Unterkunft, Flughafentransfer & Klinik-Taxi. Insidertipps für Hévíz und Umgebung inklusive!
Urlaub inklusive: Zähne richten, Erholung genießen & immer noch sparen!
Entdecken Sie die einzigartigen Thermalquellen von Hévíz und besuchen Sie den nahegelegenen Plattensee: Der Gelencsér-Preisvorteil macht’s möglich!
Fotos
Es gibt keine zweite Chance für den ersten Eindruck.
Werfen Sie einen Blick in unsere Fotogalerie und hinter die Kulissen!
01
02
03
04
05
06
07
08
Unsere Partner
Straumann Implantate
Nobel Biocare Implantate
SGS Implantate
Techniker Krankenkasse
ZirkonZahn
OrthoSera
Aktuelle Blog-Einträge
Durch kranke Zähne verursachte Beschwerden und was Sie dagegen tun können
Wussten Sie, dass Karies der Auslöser für eine Reihe von Folgeerkrankungen sein kann? Nicht nur Bakterien & Co. sind verantwortlich!
Wie kann man den Zahnfleischrückgang verhindern?
Wie kommt es zu Zahnfleischrückgang? Was sind die Folgen von Zahnfleischrückgang und was können Sie dagegen tun? Hier finden Sie alle Tipps und Tricks.
Zahnprothesen: Alles, was Sie wissen müssen
Zahnprothesen im Überblick: Erfahren Sie hier, aus welchen Teilen und Materialien sie bestehen und wann welche Art Zahnersatz geeignet ist.
Komplett neue Zähne machen lassen - Vom Interesse bis auf den Behandlungsstuhl
Vom Interesse bis auf den Behandlungsstuhl - neue Zähne machen lassen, Schritt für Schritt erklärt. Auslandbehandlung mit Köpfchen.
Zahnbehandlungen im Ausland: Das sollten Sie darüber wissen
Zahn OP Ausland – Welche Pros und Kontras gibt es? Auf was muss man bei der Behandlung im Ausland achten? Hier erfahren Sie es.
Stegprothese: Aufbau, Arten und Pflege des kombinierten Zahnersatzes
Sie benötigen eine Stegprothese? Informieren Sie sich über Arten, Aufbau und Pflege in unserem Ratgeber. - Jetzt mehr erfahren!
Rezeption
Rezeption
0036 83 340 183
WhatsApp
WhatsApp
0036 70 424 5524
Email
Email
kontakt@gelencserdental.hu
Terminvereinbarung
Fragen Sie Ihren Termin online an – unverbindlich!

Öffnungszeiten
Öffnungszeiten
Montag – Freitag: 9.00 - 16:00 Uhr
Samstag – Sonntag: geschlossen
Adresse
H-8380 Hévíz, Vörösmarty Str. 100.

Daten unter bearbeitung...

ajax loader

Die Datenverarbeitung kann von der Größe der Dateien abhängend mehrere Minuten dauern. Bitte warten Sie...

* Ihr Name:
* Ihre E-Mail:
* Telefon oder Handy:
Dürfen wir Sie zurückrufen?
Möchten Sie Anlagen beifügen?
(z.B. Röntgenbild, Kostenplan, Foto)
1. Anlage beifügen:
2. Anlage beifügen:
3. Anlage beifügen:
4. Anlage beifügen:
5. Anlage beifügen:
Wie können wir Ihnen weiterhelfen?
(Ihre Fragen oder Terminwunsch)
* Creditcard: