Bilder sagen mehr als Worte - wir zeigen Ihnen, wie aus Lückengebissen und schlechten Zähnen mit exzellenter Zahntechnik ein strahlendes neues Lächeln entsteht.
ReferenzarbeitenLetzte Änderung: 17. September 2019
|
Zahnersatz aus unserem hauseigenen Dentallabor
Die Referenzarbeiten zeigen auf mehreren Aufnahmen, was dazwischen passiert: wie eine Teleskopprothese entsteht, was eine Locator-Prothese ist und wie Vollbrücken an unserer Zahnklinik aussehen.
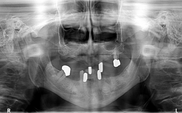
Unterkiefer Locator-Prothese auf 4 Implantaten
Die 82 jährige Dame aus der Schweiz meldete sich mit zwei Restzähnen im Unterkiefer, mit dem Wunsch nach festem Zahnersatz. Der Zustand der Zähne und der vorhandene Abszess machten die Extraktion erforderlich. Das Knochenangebot erwies sich im Unterkiefer als ausreichend für eine implantatgetragene Versorgung.
Überzeugen auch Sie sich von unserer hochwertigen Arbeit!
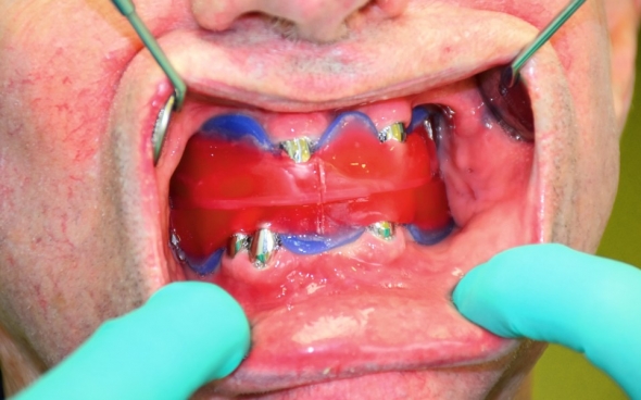
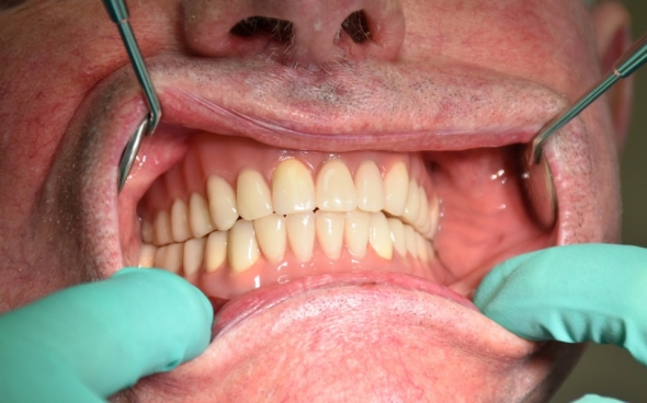
Teleskopierender Zahnersatz
Der 75 jährige deutsche Patient machte sich mit einem Lückengebiss und einem herausnehmbaren Zahnersatz in schlechtem Zustand vorstellig. Mehrere Zähne mussten extrahiert werden.
Überzeugen auch Sie sich von unserer hochwertigen Arbeit!
Metallkeramische Oberkiefer- und Unterkiefer-Vollbrücken
Der 48 jährige österreichische Patient erschien an unserer Zahnklinik zu einem Beratungstermin, wo eine Röntgenaufnahme und ein Kostenplan für metallkeramische Vollbrücken im Ober- und Unterkiefer mit insgesamt 25 Kronen erstellt wurden.
Überzeugen auch Sie sich von unserer hochwertigen Arbeit!
Referenzarbeiten
Gelencsér Dental Zahnklinik
8380
75 Vörösmarty
Heviz
Balaton
Hungary
+3683340183
€€
Balaton
Wie sieht ein fertiger Zahnersatz aus? Schauen Sie sich hier Vorher-Nachher-Bilder an und finden Sie es heraus.
Letzte Änderung: 17. September 2019





































































